A 38 years old woman diagnosed with uterine fibroids 7 years back, consulted a homoeopath with the following complaints in August 2008:
- Heavy and irregular menstrual cycles.
- Menses were usually delayed, excessive, clotted and dark colored with lower back ache and weakness which was relieved by hot fomentation.
She also had few associated complaints:
- Hypo-pigmented spots scattered all over the body, since last 4 years.
- She had history of recurrent injuries; and 8 years back she developed right sided sciatica after a road accident.
She has an inordinate craving for cold drinks and chocolates. She had unsatisfactory stool with ineffectual urge. Since childhood she sleeps for few hours and could sleep well when lying on abdomen.
She worked in a music school, and she liked to be busy all the time. She was quite fastidious and wanted everything in order, to the extent of avoid using any public toilet for the fear of catching some disease. She was pretty anxious about her health. She also liked helping others, which was evident through her charitable works.
Her family history is quite grave, as her mother had carcinoma of breast while her maternal uncle had throat carcinoma.
Her whole case was analysed and then she was prescribed Carcinosin. After two weeks she reported better sleep, and less backache. Her next menses were less painful and less heavy. She was continued with Carcinosin with increasing the potencies.
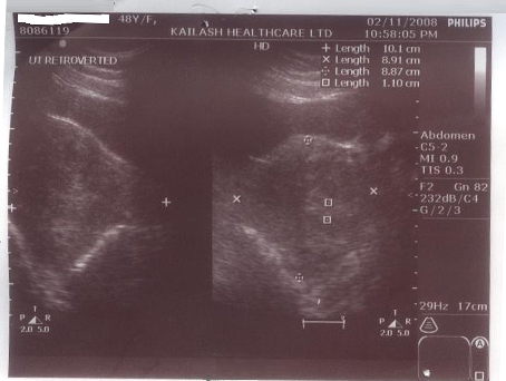
Her Ultrasound was repeated in November 2008, which showed a decrease in the size of the fibroid, but the endometrial thickness was a matter of concern. With continued treatment latest ultrasound, done in March 2009, showed a marked reduction in the size of the fibroids and also the endometrial thickness came down to 6 mm.
Before the treatment:
During the treatment:
After the treatment:
Healing touch of homoeopathy has not disappointed this fastidious woman with uterine fibroids, and she is doing well whilst still under homoeopathic treatment.

